Товаров: 0
Цена: 0 руб.
Логин (e-mail):  
Пароль:   Забыли пароль?

Кетоз коров и телят. Учебное пособие


Кетоз коров и телят. Учебное пособие
Кетоз коров и телят. Учебное пособие
2799 руб 
ID товара: 692879
Издательство: Лань
Год выпуска: 2019
Страниц: 136
Тип обложки: обл - мягкий переплет (крепление скрепкой или клеем)
Иллюстрации: Черно-белые + цветные
Масса: 204 г
Размеры: 235x165x7 мм
Наличие: Отсутствует
В пособии представлены современные данные о кетозе коров и рожденных от них телят, дана новая классификация болезни. Подробно рассмотрены основные причины заболевания, механизмы его развития, клинические и патологоанатомические изменения, современные методы диагностики, лечения и профилактики указанной патологии. В приложении приведено большое количество справочной информации по данной теме. Учебное пособие предназначено для студентов очного, заочного и вечернего отделений, обучающихся по специальности "Ветеринария" и направлению подготовки "Ветеринарно-санитарная экспертиза", а также научных сотрудников и аспирантов, слушателей ФПК и практикующих ветеринарных врачей.

Рецензии

(1)

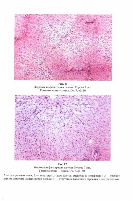
Иллюстрации к "Кетоз коров и телят. Учебное пособие"






 
Купить самые лучшие и популярные книги в интернет магазине "Лабиринт"